Welcome To Semtner Dental
Semtner Dental in Roanoke, VA and surrounding areas
We are a family-friendly practice committed to delivering excellent care by using the latest advancements in technology and always putting your comfort first. Our dentists and team offer a wide variety of services along with calming amenities to make you feel at home as we care for your smile.
Our membership plan being an alternative for patients with no dental insurance.
Reach out today to schedule your consultation and learn how we can improve your smile, oral health and quality of life with personalized treatment plans!
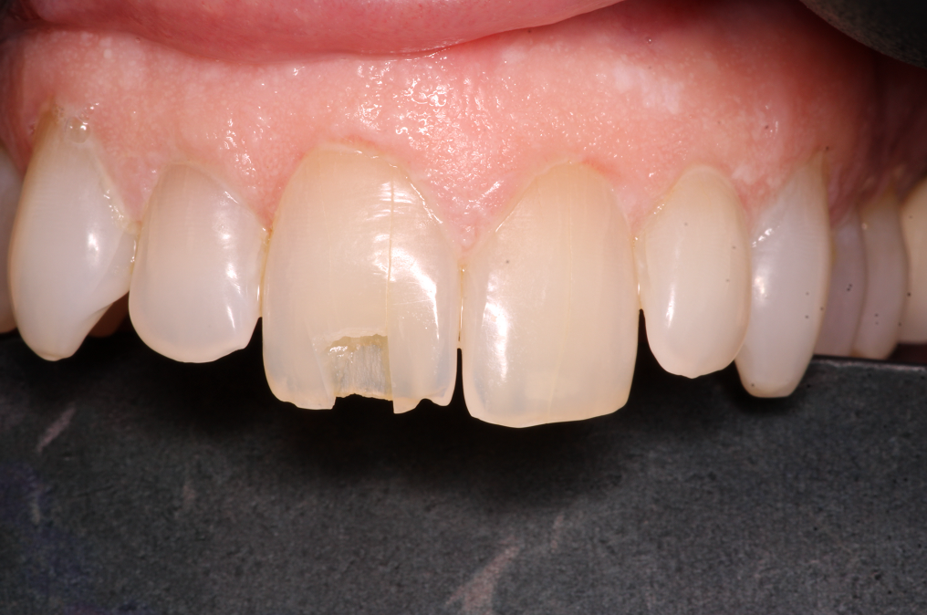
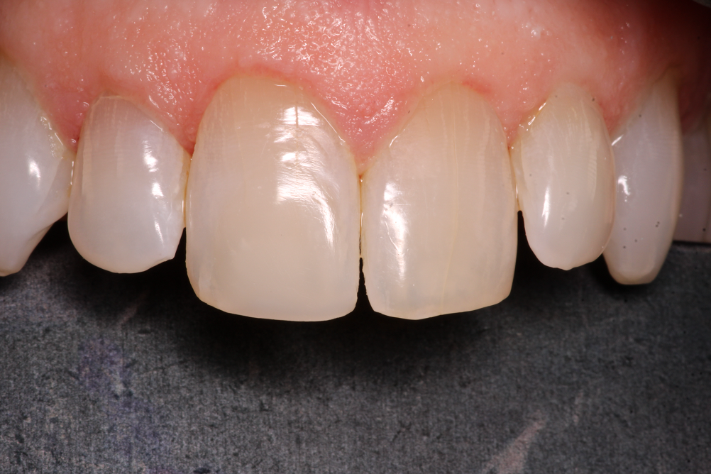
Smile Gallery
Our Services
You and your family can take advantage of a full range of dental services here at Semtner Dental. During each visit, you will be treated by trained professionals who will provide top quality care to prevent dental problems and treat current conditions.
Dentures
If you are missing teeth, dentures can provide a positive solution to improving your oral health. We are proud to provide dentures that are designed to fit your mouth for proper function and unique comfort.
Read MoreBridges
When your teeth are missing, it greatly affects your smile. At the same time, the missing tooth has the potential to negatively affect your oral hygiene because of unprotected gum exposure.
Read MoreRoot Canals
Root canals are needed when decay and bacteria have spread within a tooth for too long without treatment. After a while, the infection will make its way into the pulp within your tooth which contains nerves that can cause a lot of pain if infected.
Read MoreExceptional Dental Care with a Personal Touch
Your Trusted Family Dentist in Roanoke, VA
At Semtner Dental, we believe in delivering top-quality dental care in a warm and welcoming environment. Whether you’re here for a routine checkup or a complete smile makeover, Dr. Rob, Dr. Holt and Dr. Mona are dedicated to your comfort, health, and confidence. Discover a dental experience that puts you and your family first.
- Comprehensive Family Dentistry for All Ages
- Advanced Cosmetic and Restorative Solutions
- Gentle, Compassionate Care in a Modern Office
Smile Brighter with Semtner Dental
Comprehensive, Caring Dentistry in Roanoke, VA
From preventive checkups to advanced cosmetic treatments, Semtner Dental offers personalized dental care for patients of all ages. Dr. Rob, Dr. Holt and Dr. Mona combine clinical expertise with a gentle approach, ensuring your visit is comfortable, efficient, and effective. We’re committed to helping you achieve and maintain a healthy, beautiful smile for life.

